top of page

Så er der scannet

  • Anette Englykke
  • 8. jun. 2017
  • 1 min læsning

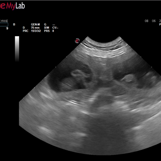
Den 8. juni ( på 29.dagen) var vi på Hinnerup Dyreklinik, hvor Kathrine kunne se mange fine babyer. Alle i samme størrelse og med fin hjertelyd.

 
 
 

Kommentarer


bottom of page